Diabetic Foot
Diabetic Foot Ulcers
​
The risk of foot problems is higher in patients with diabetes, because of either diabetic neuropathy or peripheral vascular disease or a combination of both. It is estimated that 10% patients with diabetes will have a diabetic foot ulcer at some point in their lives.
Diabetes is the most common cause of non-traumatic limb amputation and the risk increases in the presence of foot ulcers. After the first amputation, there is twice as likely risk of subsequent amputation, up to 70% risk of death within 5 years of having an amputation and up to 50% risk of death within 5 years of developing an ulcer.
Factors associated with poor healing potential include hyperglycemia, mechanical pressure due to underlying bony prominence, poor circulation and nutrition and superadded infection. Imaging includes plain radiographs, MRI and bone scans. The latter two help to differentiate between abscess and osteomyelitis.
​
The aims of treatment are to improve and heel the ulcer, as quickly as possible, whilst reducing risk of further morbidity, to avoid hospital admission if possible, to avoid major and minor amputation, to be managed effectively and efficiently with management plans focused on the patient’s individual circumstances and their personal needs and to have their diabetes and other medical conditions well managed at the same time that their foot disease is being assessed and treated.
The recommended structure of service includes the provision of Foot Screening Service, Foot Protection Service and Multidisciplinary Foot Service
.
The plan of management should include prompt assessment of foot problems, necessary investigations, commencement of necessary treatment, patient and carers’ education, frequent review of progress and provision of emergency care service as needed. Read the full guidelines for management of acute diabetic foot problems.

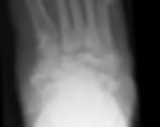
Diabetic ulcer

Charcot Foot

Charcot foot stage III

Diabetic ulcer
Charcot Foot
​
Charcot neuropathic osteoarthropathy (CN) or commonly known as Charcot foot is a chronic and progressive joint disease due to loss of protective sensations that leads to destruction of the joints, surrounding bones and soft tissues. It is common in patients with diabetes and neuropathy; however the other risk factors include alcoholism, leprosy, syringomyelia, syphilis.
It affects patients with diabetes in their 5th (Type I Diabetics) or 6th (Type II Diabetics) decades. It is considered an inflammatory syndrome and is potentially a serious condition that can lead to severe deformity, disability and amputation. As the disease progresses, the arches collapse and the foot develops rocker bottom deformity that is the hallmark of this condition.
​
Pathophysiology
There are some theories behind the development of this condition. One belief is that sensory-motor neuropathy causes abnormally high plantar foot pressure leading to muscle atrophy and imbalance, and when combined with proprioceptive dysfunction this results in repetitive microtrauma (Neurotraumatic theory).
Another belief is that the disease is mediated through a process of uncontrolled inflammation that leads to osteolysis and is indirectly responsible for progressive fractures and dislocations (Inflammatory theory). Another theory is that a neutrally mediated vascular reflex causes autonomic dysfunction and leads to increased blood flow resulting active bone resorption (Neurovascular theory).
​
Staging and Classification
​
Eichenholtz Stages
0 – Joint oedema, no x-rays changes
1 – Joint oedema, osteopenia, periarticular fragmentation, dislocation (Fragmentation)
2 – Decreased oedema, coalescence, absorption of fine bony fragments, fusion and early sclerosis (Coalescence)
3 – No oedema, more stable and deformed foot because of reconstruction and remodelling changes, osteohpytes, subchondral sclerosis and narrowing of joint spaces (Consolidation)
Brodsky Classification (according to the joints involved)
Type I – Midfoot including metatarsocuneiform and naviculocuneiform joints
Type II – Triple joint complex
Type IIIA – Ankle joint
Type IIIB – Fracture of the calcaneal tubercle​
​
Presentation
​
Typical presentation includes a markedly swollen, warm and often erythematous foot with only mild to moderate pain or discomfort (50% cases). The differential includes cellulitis or gout. Erythema of Charcot foot reduces with elevation compared to cellulitis where it doesn’t.
There is usually a temperature difference between the two feet (3 degrees warmer than other side). Pedal pulses are usually bounding unless obscured by oedema. Chronic cases usually have a deformed foot, bony prominences, dropped medial arch, rocker bottom deformity and foot ulceration.
​
Assessment
Haematological investigations include CRP, ESR and FBC. Plain radiographs initially may be normal or may show only subtle changes, however in advanced stages more prominent bony destructions and subluxations become evident.
MRI helps to identify subtle early changes, soft tissue abscesses and has a high sensitivity and specificity for osteomyelitis. Three-phase (Tc99m) has high sensitivity for active bone pathology, however is not specific. Labelled white cell scan has better specificity for infection however it can be difficult to differentiate between soft tissue and bone infections. Bone Mineral Density (BDM assessed by DEXA scan) has been associated with pathological pattern of Charcot neuropathy. Joint dislocations are more frequent in those with normal mineralisation and fractures are frequent in those with diminished BMD.​
​
Management
​
The aims of management are to offload the foot, treat the active bone disease, prevent further fractures/dislocations and reverse bone demineralisation. The management is based on professional advice and clinical response rather than strict protocols.
​
Conservative Management
​
Offloading of foot is the most important management in the initial stages and can help to limit the progression of the disease. It is achieved by total contact casting. This should be changed frequently in the early stage of treatment (1 weekly) with protected weight-bearing until the acute phase resolves.
Casting is then continued until the swelling resolves and the temperature of the foot is within 2 degrees of the opposite side (can take as much as 2-4 months with 2- 4 weekly change of cast). This is followed by the use of orthotic supports (CROW – Charcot restraint orthotic walker) for the long term care. There is little evidence to support the use of bisphosphonates provided by small randomized, double-blind, controlled trials or in retrospective controlled studies.
​
Surgical Management
​
Surgery is aimed at resection of bony prominences and infected bone, restore and maintain the alignment, correct the deformities to achieve a plantigrade foot and prevent further deformities. This helps in treating the ulcers and fitting the orthotics.
Surgery is generally avoided in acute inflammatory phase. Some studies have shown favourable patient-perceived quality of life outcomes with early surgical correction of deformity and arthrodesis, although non-union and loss of correction were common. External fixation with Ilizarov frame is an alternative to internal fixation to help avoiding soft tissue complications.
Lengthening of the Achilles tendon is considered to reduce the forefoot pressure and improves the alignment of the ankle and hindfoot to the midfoot and forefoot. All the available studies are retrospective in nature without a control group and are based on a limited number of patients.
The objective is to achieve a strong and stable construct with internal, external or combined fixation techniques (inconclusive data exist to recommend one form of fixation over another in the surgical reconstruction of the foot and ankle. Chronically infected and resistant cases require amputation according to the level of the affected joints.
​
​
References
-
Operational Delivery of the Multi-Disciplinary Care Pathway for Diabetic Foot Problems April 2016, British Orthopaedic Association, British Orthopaedic Foot and Ankle Society, Vascular Society, Diabetes UK, Association of British Clinical Diabetologists, Foot in Diabetes UK; British Association of Prosthetists and Orthotist
-
Diabetic foot problems: prevention and management, NICE guideline, August 2015 nice.org.uk/guidance/ng19
-
Rogers et al., Diabetes Care Sep 2011;34: 2123-2129
-
Herbst SA, Jones KB, Saltzman CL, Pattern of diabetic neuropathic arthropathy associated with the peripheral bone mineral density. J Bone Joint Surg Br 2004;86:378–383
-
Larcos G, Brown ML, Sutton RT, Diagnosis of osteomyelitis of the foot in diabetic patients: value of 111In-leukocyte scintigraphy. AJR Am J Roentgenol 1991;157:527–531
-
Frykberg RG, Frykberg RG, Eneroth M, Principles of conservative management. In The Diabetic Charcot Foot: Principles and Management. Frykberg RG, Ed. Brooklandville, MD, Data Trace Publishing Company, 2010, p. 93–116
-
Selby PL, Young MJ, Boulton AJ, Bisphosphonates: a new treatment for diabetic Charcot neuroarthropathy? Diabet Med 1994;11:28–31
-
Jude EB, Selby PL, Burgess J, et al, Bisphosphonates in the treatment of Charcot neuroarthropathy: a double-blind randomised controlled trial. Diabetologia 2001; 44:2032–2037
-
Pitocco D, Ruotolo V, Caputo S et al., Six-month treatment with alendronate in acute Charcot neuroarthropathy: a randomized controlled trial. Diabetes Care 2005; 28:1214–1215
-
Anderson JJ, Woelffer KE, Holtzman JJ, Jacobs AM, Bisphosphonates for the treatment of Charcot neuroarthropathy. J Foot Ankle Surg 2004; 43:285–289
-
Dhawan V, Spratt KF, Pinzur MS, Baumhauer J, Rudicel S, Saltzman CL, Reliability of AOFAS diabetic foot questionnaire in Charcot arthropathy: stability, internal consistency, and measurable difference. Foot Ankle Int 2005; 26:717–73
-
Pinzur M, Surgical versus accommodative treatment for Charcot arthropathy of the midfoot. Foot Ankle Int 2004; 25:545–54
-
Bevilacqua NJ, Rogers LC, Surgical management of Charcot midfoot deformities. Clin Podiatr Med Surg 2008; 25:81–94
